اسنان اونلاين | هشام حمد الأشقر

اختار و احجز عند افضل و اقرب دكتور اسنان فى دقائق

متاح الان
دكتور
هشام حمد الأشقر

عيادة د هشام حمد الأشقر لطب وجراحة الفم والأسنان

اخصائي طب الفم والأسنان

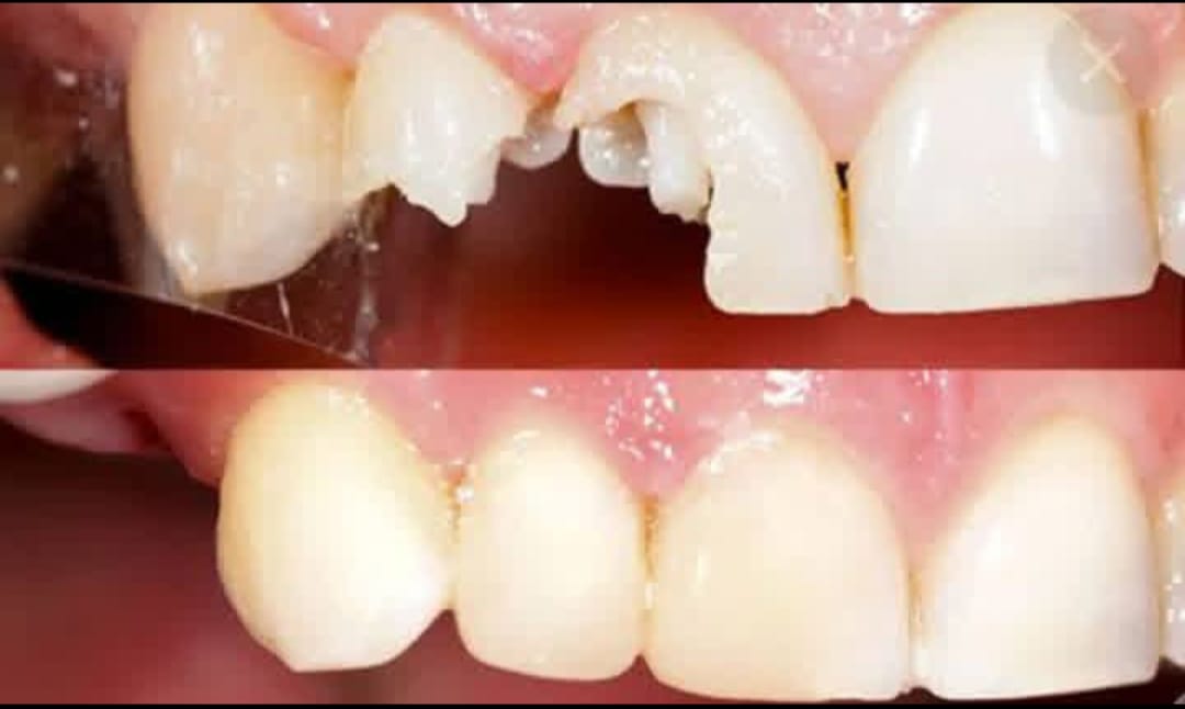
زراعة الأسنان
تقويم الأسنان
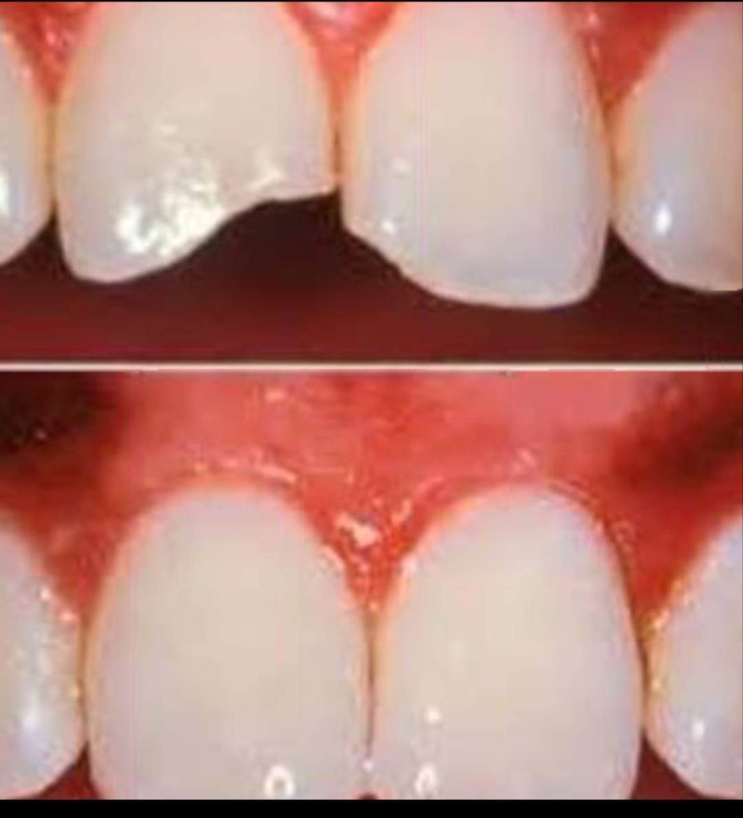
فينير الأسنان
تركيبات الأسنان الثابتة
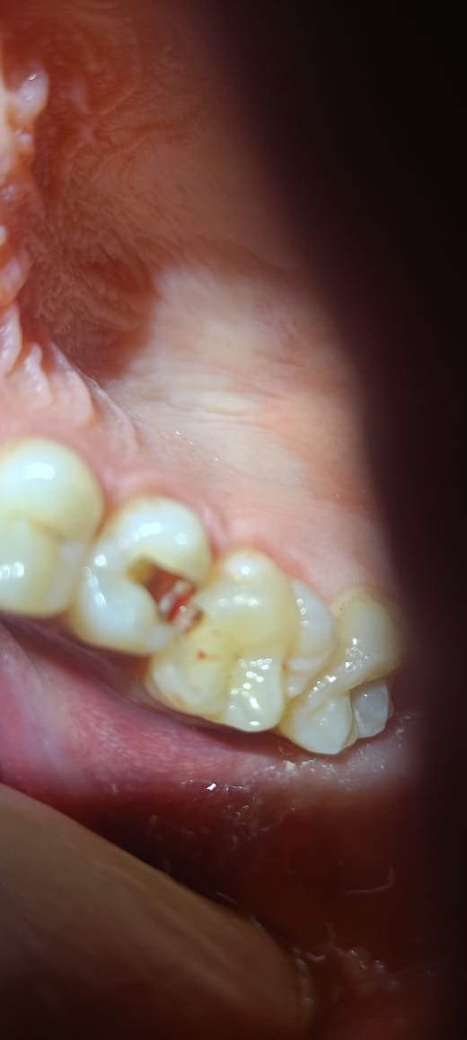
علاج جذور الأسنان
حشو الأسنان
تبييض الأسنان
تنظيف الجير وتلميع الأسنان
أسنان الأطفال
جراحة الأسنان
الغربية - زفتى : قرية شرشابة شارع البحر (السوق)
الكشف : 50 جنيه

معلومات عن الدكتور

اسم العيادة

عيادة د هشام حمد الأشقر لطب وجراحة الفم والأسنان

العنوان

قرية شرشابة شارع البحر (السوق)

المدينة

الغربية

المنطقة

زفتى

Loading...
جارى التنفيذ ...
11 الاثنين
غير متاح
12 الثلاثاء
03:00 م
04:00 م
05:00 م
06:00 م
07:00 م
08:00 م
09:00 م
13 الاربعاء
03:00 م
04:00 م
05:00 م
06:00 م
07:00 م
08:00 م
09:00 م
14 الخميس
03:00 م
04:00 م
05:00 م
06:00 م
07:00 م
08:00 م
09:00 م
متاح
محدد
محجوز

موعد الحجز

يوجد كابون خصم ؟
كوبون