Asnanonline | Raafat Tammam

choose and book with the nearest doctor

Search, book and discover... Reserve your place in just 3 simple steps.

Doctor
Raafat Tammam

Smart Dental Center

Oral and Dental Specialist

Dental implants
orthodontics
Dental veneers
Crowns
Root canal treatment
Fillings
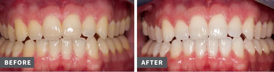
Teeth whitening
Teeth Scaling and polishing
Children's teeth
Removable dentures
Dental surgery
Assiut - Assiut : Al-Hilali Street
Consultation : 350 LE.

Information about the doctor.

Clinic name

Smart Dental Center

ِAddress

Al-Hilali Street

City

Assiut

Area

Assiut

Clinic images

Loading...
In progress ...
21 Sat
03:00 PM
04:00 PM
05:00 PM
06:00 PM
07:00 PM
08:00 PM
09:00 PM
22 Sun
03:00 PM
04:00 PM
05:00 PM
06:00 PM
07:00 PM
08:00 PM
09:00 PM
23 Mon
03:00 PM
04:00 PM
05:00 PM
06:00 PM
07:00 PM
08:00 PM
09:00 PM
24 Tue
03:00 PM
04:00 PM
05:00 PM
06:00 PM
07:00 PM
08:00 PM
09:00 PM
Available
Selected
Booked

Booking date

Is there a discount coupon ?
Coupon